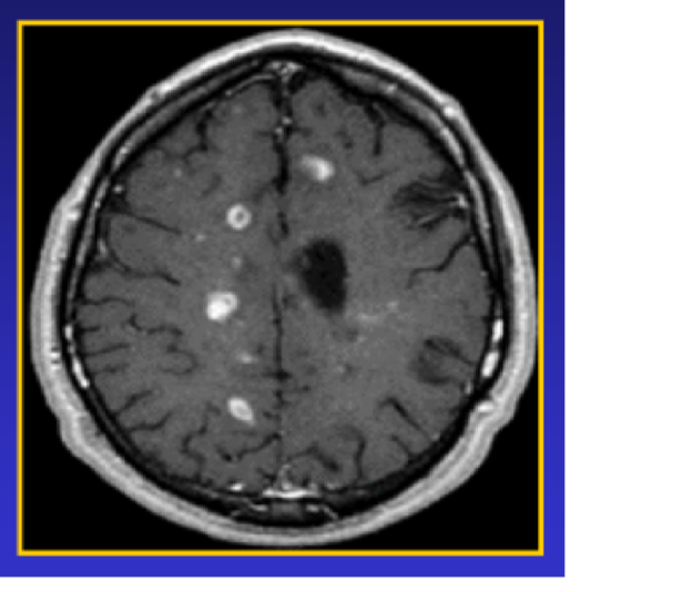
MS Nedir?
MS (MULTİPL SKLEROZ) nedir? Multipl skleroz, vücudun kendi bağışıklık sisteminin beyindeki, optik sinirdeki ve omurilikteki sinir hücrelerinin koruyucu kılıfına (miyelin kılıfı) karşı yöneldiği bir hastalıktır. Aslında bu kılıf bazen elektrik telindeki yalıtıma benzetilir. Sinir hücreleri sinir tellerini oluşturur bunlar da mesaj iletimini gerçekleştirir. Merkezi sinir sistemi ile organların bilgi iletimi bu şekilde kısmen etkilenmeye…

